Diospyros gracilipes
Jump to navigation
Jump to search
Diospyros gracilipes Hiern
| Order | Ericales |
|---|---|
| Family | Ebenaceae |
| Genus | Diospyros |
2n =
Origin : Madagascar (endemic)
wild
| English | Madagascar ebony |
|---|---|
| French | ébène de Madagascar |
To edit this page, please copy the French version and translate it. If it contains no data, the first tasks are to check all the links, to clarify nomenclature and to upload photos from Wikimedia Commons
Uses summary
- wood: ebony. "The most precious and valuable wood in Madagascar" (PROTA)
- medicinals: bark, leaves, fruits
Description
-
leaves and fruits
-
flowers
-
fruits
-
fruits
-
wood in transverse section
-
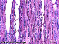
wood in tangential section
-
wood in radial section
Popular names
| English | Madagascar ebony (PROTA) |
| French | ébène de Madagascar (PROTA) |
| Malagasy | hazomainty (PROTA) |
Classification
Diospyros gracilipes Hiern (1873)
