Diospyros gracilipes
Aller à la navigation
Aller à la recherche
Diospyros gracilipes Hiern
| Ordre | Ericales |
|---|---|
| Famille | Ebenaceae |
| Genre | Diospyros |
2n =
Origine : Madagascar (endémique)
sauvage
| Français | ébène de Madagascar |
|---|---|
| Anglais | Madagascar ebony |
Résumé des usages
- bois d'œuvre : ébène, appelé hazomainty
- médicinal : écorce, feuilles, fruits
Description
-
feuilles et fruits
-
fleurs
-
fruits
-
fruits
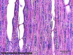
-
coupe transversale du bois
-
coupe tangentielle du bois
-
coupe radiale du bois
- arbre atteignant 15 m de haut
- écorce lisse ou rugueuse, brun noirâtre
- feuilles entières, elliptiques à ovales, de 6-12 cm de long
- fleurs en fascicules jusqu'à 20 fleurs
- calice en coupe, de 3-8 mm de long, à 4 lobes
- corolle à tube long et 4-6 lobes
- fruit : baie ovoïde de 3 cm de long, vert brunâtre
Noms populaires
| français | ébène de Madagascar |
| anglais | Madagascar ebony |
| malgache | hazomainty |
Classification
Diospyros gracilipes Hiern (1873)
Cultivars
Histoire
Cet ébène a été exporté par les Portugais dès le XVIe siècle.
Usages
Références
- Roubo, André-Jacob, 1774. L’Art du Menuisier. L’art du menuisier-ébéniste — 3e section de la 3e partie. pp. 768-781. Voir sur Pl@ntUse